骨密度仪_骨密度检测仪哪个品牌好_超声骨密度测量仪厂家-新利18体育娱乐app菲律宾

骨密度检测仪

超声骨密度仪厂家

程序员手疼7年发现骨瘤!骨密度检测仪器提醒小心这些潜在的肿瘤…

发布时间:2021-08-18 15:18浏览次数:times
【摘要】:骨密度检测仪器提醒疼痛难忍,他被诊断出患有骨肉瘤。80岁的朱爷爷被诊断出患有纤维肉瘤,因为他担心右腿后面不断增长的软组织肿块。80岁的朱爷爷被诊断出患有纤维肉瘤,因为他担心右腿后面不断增长的软组织肿块。
【关键词】:骨密度检测仪器
【联系方式】:136 1637 9298(微信同号)
【标题】:程序员手疼7年发现骨瘤!骨密度检测仪器提醒小心这些潜在的肿瘤…
【编码】:WZBMQXZ0513779
程序员手疼7年发现骨瘤!骨密度检测仪器提醒小心这些潜在的肿瘤…
 
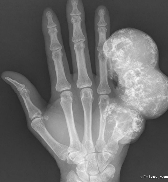
骨密度检测仪器提醒软骨内瘤是一种发生在骨中的良性骨肿瘤。它通常没有症状,或伴有轻度疼痛和无痛肿胀,看起来更像肢体局部肿胀,生长缓慢,多年来体积没有明显变化。目前手术后,黄先生的左手恢复良好。
 
19岁的大学生小林(音译)的右膝疼痛和肿胀已经持续了三个多月。他以为那是运动伤,也没怎么注意。骨密度检测仪器提醒疼痛难忍,他被诊断出患有骨肉瘤。骨肉瘤是一种高度恶性的原发性骨肿瘤,多见于儿童和青少年,恶性程度高,发展迅速。
 
②髋部疼痛的老年人应谨慎
 
84岁的陈冠希是一位著名的音乐家,他的左髋关节已经遭受了两个月的疼痛和虚弱。他被诊断为疑似“股骨头坏死”,最后被诊断为低级别恶性软骨源性肿瘤。
 
③肿块突然增大时应警惕软组织肉瘤
 
80岁的朱爷爷被诊断出患有纤维肉瘤,因为他担心右腿后面不断增长的软组织肿块。软组织肉瘤相对常见的内侧和后部区域很容易被误认为是“腿部增厚”,因为它的生长相对缓慢、无痛和隐蔽。
 
骨肿瘤的八个早期症状
 
①关节部位有硬块,休息时不能下沉,继续增加。
 
②骨及邻近关节疼痛肿胀,夜间加重,疼痛程度与活动无关。
 
③发热、体重减轻、低热如肿胀区皮肤温度明显升高等。
 
(4)持续的背痛或原因不明的脊柱疼痛不能通过休息缓解,与常见的颈椎病、腰椎疾病难以解释。
 
⑤远端麻木或顽固性放射痛、无力,甚至功能障碍。
 
⑥病理性骨折或肢体变形。
 
抽搐,肌肉痉挛,血钙增加。
 
(8)对于不明原因的肢体疼痛、腰痛,且有进行性加重倾向的中老年患者,应警惕转移性骨肿瘤的发生,特别是有肿瘤史者。
程序员手疼7年发现骨瘤!骨密度检测仪器提醒小心这些潜在的肿瘤…
筛查和预防
 
骨密度检测仪器筛查建议:注意骨肿瘤的八个早期信号,如有异常及时就医。特别是有恶性肿瘤病史的患者,如有骨痛、神经受压等情况,应及时检查。
 
骨密度检测仪器提醒预防建议:①避免外伤。②保持合理的重量。③合理地吃。④避免接触放射性物质。保持健康乐观的态度。

厂家咨询电话:136 1637 9298(微信同号)
本篇文章网址://www.zfmiao.com/gumiduyi_gsxw/688.html

本站声明:网站部分内容及图片来源于网络,本站只提供存储,如有侵权,请联系我们,QQ: 325925638 ,我们将第一时间删除!
点击咨询便携式骨密度检测仪设备

骨密度仪_骨密度检测仪哪个品牌好_超声骨密度测量仪厂家-新利18体育娱乐app菲律宾微信扫码 关注我们

  • 24小时咨询热线13616379298

18luck国际 版权所有 地址:山东省枣庄市薛城区常庄四路7号 备案号:鲁ICP备16021555号-19 超声波骨密度检测仪品牌新利18体育娱乐app菲律宾备案鲁公网安备 37040302000190号

Baidu
18luck新利官网登陆